CASE 6: Cosmetic Dentistry – Porcelain Crowns
All-porcelain crowns for natural-looking tooth restoration.
Case Overview

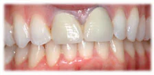
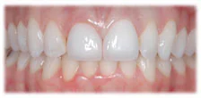
Before & After Comparison
Before

After

Case Details
All-porcelain crowns for natural-looking tooth restoration.
Cosmetic DentistryWant Similar Results?
Schedule a consultation to discuss how we can help you achieve your dental goals.