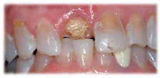
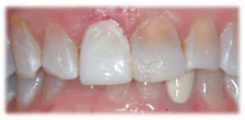
CASE 5: Emergency Dentist Fractured Broken Tooth
Emergency restoration of fractured or broken tooth.
Case Overview

Before & After Comparison
Before

After

Case Details
Emergency restoration of fractured or broken tooth.
Emergency TreatmentWant Similar Results?
Schedule a consultation to discuss how we can help you achieve your dental goals.