CASE 31: Cosmetic Restoration
Cosmetic dental restoration for enhanced appearance.
Case Overview

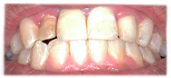
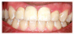
Before & After Comparison
Before

After

Case Details
Cosmetic dental restoration for enhanced appearance.
Cosmetic DentistryWant Similar Results?
Schedule a consultation to discuss how we can help you achieve your dental goals.