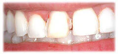
CASE 30: Cosmetic Lengthening
Cosmetic tooth lengthening for improved smile aesthetics.
Case Overview

Before & After Comparison
Before

After

Case Details
Cosmetic tooth lengthening for improved smile aesthetics.
Cosmetic DentistryWant Similar Results?
Schedule a consultation to discuss how we can help you achieve your dental goals.