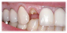
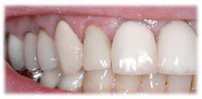
CASE 9: Emergency Treatment – Fractured Tooth
Emergency restoration of fractured front tooth.
Case Overview

Before & After Comparison
Before

After

Case Details
Emergency restoration of fractured front tooth.
Emergency TreatmentWant Similar Results?
Schedule a consultation to discuss how we can help you achieve your dental goals.