CASE 45: Cosmetic Dentistry
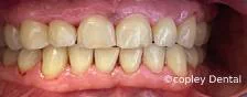
Comprehensive cosmetic dentistry treatment.
Case Overview

Before & After Comparison
Before

After

Case Details
Comprehensive cosmetic dentistry treatment.
Cosmetic DentistryWant Similar Results?
Schedule a consultation to discuss how we can help you achieve your dental goals.