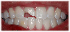
CASE 39: Emergency Treatment – Broken Tooth
Emergency treatment for broken tooth restoration.
Case Overview

Before & After Comparison
Before

After

Case Details
Emergency treatment for broken tooth restoration.
Emergency TreatmentWant Similar Results?
Schedule a consultation to discuss how we can help you achieve your dental goals.