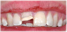
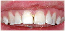
CASE 24: Broken Fractured Tooth
Treatment for broken and fractured tooth.
Case Overview

Before & After Comparison
Before

After

Case Details
Treatment for broken and fractured tooth.
Emergency TreatmentWant Similar Results?
Schedule a consultation to discuss how we can help you achieve your dental goals.