CASE 22: Cosmetic Restoration
Cosmetic dental restoration for improved aesthetics.
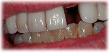
Case Overview

Before & After Comparison
Before

After

Case Details
Cosmetic dental restoration for improved aesthetics.
Cosmetic DentistryWant Similar Results?
Schedule a consultation to discuss how we can help you achieve your dental goals.