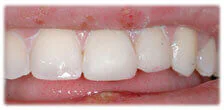
CASE 12: Veneers – Stained Teeth
Cosmetic dental veneer used to cover stained tooth due to root canal. Painless 2 dental appointments.
Case Overview

Before & After Comparison
Before

After

Case Details
Cosmetic dental veneer used to cover stained tooth due to root canal. Painless 2 dental appointments.
Cosmetic DentistryWant Similar Results?
Schedule a consultation to discuss how we can help you achieve your dental goals.